心不全 症状と予防
看護学生講座のブログ☆ で プラス1の知識♪♪ http://gakuseikango.blogspot.jp/ 看護学生にとって、覚えておいたら普段の学内テスト・
看護学生講座のブログ☆ で プラス1の知識♪♪ http://gakuseikango.blogspot.jp/ 看護学生にとって、覚えておいたら普段の学内テスト・
ミルメディカル「やさしい医療DVD辞典」はAmazonにて発売中! http://www.amazon.co.jp/shops/A359KK7UMYWJNP/ 病気のことを調べ
福島ドクターズのサイトはこちら⇒http://www.fukushima-doctors.jp/ 「心不全」は、よく耳にする言葉ですが、実は、病気そのものの名前では
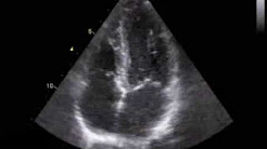
第37回 市民公開健康講座(2015年12月17日開催) 「心不全」ってどんな病気?心エコー法で診る ・心不全の症状 ・心臓の働き ・急性と慢性
咳き込むワンちゃん…… ただの風ではないかもしれませんよ。 ◇犬の慢性心不全 http://dog-heart.info/index.html 普段の生活では変化が
【衝撃】心筋梗塞が起こる1か月前に出る6つの前兆! この症状が出たら要注意!予防法とは・・【男女必見】 心臓の病気は、世界共通の深刻
ミルメディカル「やさしい医療DVD辞典」はAmazonにて発売中! http://www.amazon.co.jp/shops/A359KK7UMYWJNP/ 病気のことを調べ

心不全とはどういったものなのでしょうか? 症状、診察のめやすについてお話ししてます。 メルマガ http://chsfrm.jp/xTR/fr/sh92/N4R6Vf
先日の朝日新聞からです。慢性心不全の患者さんは、ガンにかかる率が全国平均の4倍だそうです。心臓のポンプが働かず酸素不足になる
僧帽弁閉鎖不全症(慢性心不全)が原因で発生する咳の様子 ◇犬の慢性心不全 http://dog-heart.info/index.html 普段の生活では変化が無く
ご覧頂きありがとうございます。チャンネル登録お待ちしてます。 https://www.youtube.com/channel/UCrGbV8xY8_gSyGJSglzAO0g 【関連
大分県立病院 循環器内科 http://hospital.pref.oita.jp/consult_introduction_jyunkanki/ 心不全の一部には心臓の収縮が一様ではない(同期
突然起こる心筋梗塞ですが、実は前兆がありこのサインを 見逃さなければある程度は予防できるのではないかと思います。 【がん】この症状が.

看護学生講座 231 循環器 「心不全① 主な症状と起こるメカニズム」
- @#0:03
- League of Legends — Tomurka Sky33:45




























